DICOM

Introducción a DICOM

DICOM (Digital Imaging and Communications in Medicine) es un estándar internacional para almacenar, transmitir y gestionar información de captura de imágenes médicas y datos asociados. Garantiza la interoperabilidad entre distintos dispositivos y sistemas de captura de imágenes, como equipos de IRM, TC, ecografía y rayos X, y estandariza el formato de imágenes y protocolos de comunicación utilizados para compartirlas. Los archivos DICOM suelen incluir datos de imagen y metadatos importantes, como información de paciente, parámetros de captura de imágenes y detalles de estudio, lo que lo convierte en esencial para un diagnóstico eficiente y preciso, planificación de tratamiento, y archivado en entornos de atención médica.

Puntos clave

  • DICOM es el estándar más común para almacenar imágenes médicas y metadatos asociados.
  • Garantiza la compatibilidad y comunicación entre diferentes dispositivos de captura de imágenes médicas y sistemas de atención médica.
  • Permite capturar y almacenar datos de imagen multidimensionales en un único almacén de datos con un alto rango dinámico de hasta 16 bits.
  • La mayoría de los fabricantes de dispositivos médicos admiten plenamente este estándar, que es muy utilizado en hospitales y clínicas.

Formato de datos DICOM

El formato de datos DICOM almacena y transmite de forma eficiente imágenes médicas y metadatos asociados en un archivo estandarizado. Cada archivo DICOM contiene elementos de datos organizados jerárquicamente, así como etiquetas, tipos de datos, longitudes y valores. DICOM encapsula datos de imagen, como estudios de TC, IRM, ecografía o rayos X, junto con metadatos, como ID de paciente, ajustes de captura y marcas de tiempo. A diferencia de formatos de imagen generales como JPEG y PNG, DICOM está diseñado específicamente para uso médico y admite imágenes multifotograma, volúmenes en 3D, e integración con sistemas de información hospitalaria. Enhanced DICOM es una versión avanzada que ofrece mejor soporte para tecnologías de captura de imágenes modernas y flujos de tareas clínicas complejas, por lo que es fundamental para precisión clínica e interoperabilidad.

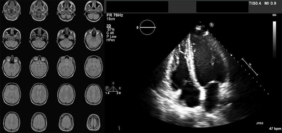
Ejemplos de imágenes en formato DICOM: serie de 20 imágenes de una IRM de un cerebro y una imagen de ecocardiografía.

Serie de imágenes de RM de un cerebro (izquierda) y una ecocardiográfica (derecha) almacenadas en formato DICOM.

Aplicaciones de DICOM

DICOM es esencial en radiología y otros campos médicos, como cardiología y oncología. Su capacidad para combinar datos de imagen con metadatos detallados lo convierten en ideal para la integración con IA y Machine Learning, ya que ofrece soporte para análisis de imágenes avanzados, diagnóstico automatizado y toma de decisiones clínicas. También desempeña un papel fundamental en telemedicina, ya que permite compartir de manera segura y eficiente imágenes médicas para consultas remotas, segundas opiniones y tratamiento colaborativo, especialmente en zonas marginadas o rurales. Esta integración de DICOM en tecnologías de atención médica tradicionales y emergentes sigue mejorando los resultados para pacientes y agiliza los flujos de tareas clínicas.

Gestión de datos DICOM con MATLAB

Gestionar datos DICOM de manera efectiva implica utilizar prácticas recomendadas de almacenamiento, seguridad y análisis. Los archivos DICOM se deben almacenar en un sistema de directorios estructurado, a menudo integrado con PACS (sistema de archivado y comunicación de imágenes), para garantizar una captura de datos eficiente y accesibilidad a largo plazo. MATLAB® permite trabajar con imágenes médicas en formato DICOM y Enhanced DICOM, y establecer comunicación directa con servidores PACS. Ofrece prestaciones potentes para procesar y analizar datos DICOM, así como lectura, escritura, visualización y segmentación de imágenes médicas.

Para mantener la seguridad y conformidad de los datos, especialmente con HIPAA, RGPD y otras normativas, es esencial implementar cifrado, controles de acceso y anonimización de datos de pacientes. Con la función dicomanon de MATLAB, puede eliminar información médica confidencial del archivo DICOM y crear un archivo nuevo con los valores modificados. Con Image Processing Toolbox™, Deep Learning Toolbox™ y Medical Imaging Toolbox™, puede automatizar flujos de tareas de captura de imágenes médicas, extraer características e incluso desarrollar modelos de IA para soporte diagnóstico, lo que convierte a MATLAB en una plataforma valiosa para investigación clínica y desarrollo de dispositivos médicos.

Imágenes DICOM transversales, sagitales, coronales y de volumen en 3D de una TC torácica con etiquetas.

TC torácica en 3D en formato DICOM visualizada con Medical Image Labeler en Medical Imaging Toolbox. (Consulte la documentación).


También puede consultar estos temas: Dispositivos médicos, Análisis de imágenes médicas, Segmentación de imágenes médicas, Medical Imaging Toolbox

Captura de imágenes

MATLAB y Simulink para captura de imágenes médicas

Con MATLAB y Simulink, puede crear algoritmos de captura de imágenes y modelos de IA explicable para imágenes médicas, además de diseñar dispositivos de captura de imágenes médicas.